Dr. Peter Synnott has been a Specialist Orthodontist for over 20 years now and has been a member of this practice for all of that time. He has always felt very fortunate to have found a job he enjoys so much. Born in Sydney, Dr. Synnott completed his last three years of high school in New Zealand and then trained there as a dentist. After returning to Sydney, he had his own private dental practice for a few years before commencing his full-time three-year specialty training in orthodontics at Sydney University. Dr. Synnott has been a Senior Visiting Specialist in Orthodontics at Westmead Hospital, Sydney and a tutor with the University of Sydney. These roles often involved providing specialist treatment for patients with a wide variety of developmental problems. Professionally, Dr. Synnott has also been on the Executive of the Sydney University Orthodontic Alumni and held Executive posts with the NSW Branch of the Australian Society of Orthodontists. His interests involve spending as much time as possible with his wife and children and grandchildren, all of whom, he says, fortunately share a good sense of humour.
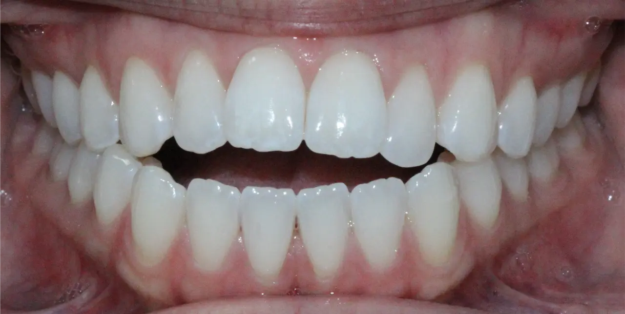
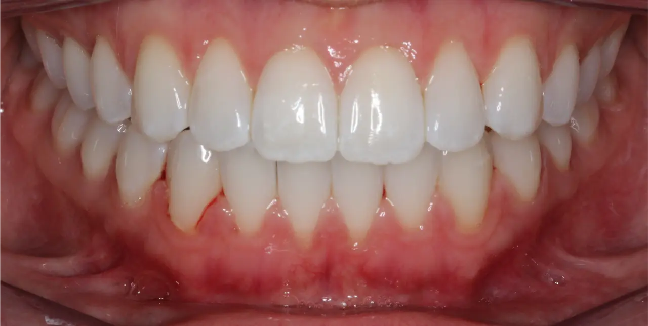
Metal & Ceramic Braces
Lingual Braces
Expansion Appliances
Retention Appliances

















